Página 3 de Artigos sobre diarreia
Ácido clorogénico nas dietas de leitões desmamados

Caso clínico: Com elas chegou o escândalo
A mudança da origem das porcas de reposição é sempre uma decisão difícil. A monitorização através de análises antes da introdução não é suficiente.

Diarreia pós-desmame em leitões: práticas preventivas
Lista de medidas práticas aplicadas no nosso trabalho diário com bons resultados. Há que as considerar em conjunto e nunca de forma individual.
Ácidos orgânicos e ácidos gordos na diarreia em leitões desafiados com ETEC K88
Factores associados ao aparecimento de agentes enteropatogénicos bacterianos em leitões lactantes
Dose de oxitetraciclina na água sobre diarreia e eliminação fecal de Lawsonia intracellularis
A EMA recomenda a proibição do uso terapêutico do óxido de zinco

Estratégias vacinais para a prevenção da doença dos edemas e diarreias por E.coli. Diarreia neo-natal e pós-desmame (2/2)
Alcançar bons níveis de imunidade colostral através da vacinação das porcas reprodutoras é o primeiro passo para prevenir a diarreia neo-natal, ao qual há que adicionar a imunização activa no pré ou pós-desmame para prevenir a diarreia pós-desmame.

Estratégias vacinais para a prevenção da Doença dos Edemas e de diarreias por E.coli. Doença dos Edemas (1/2)
A prevenção da Doença dos Edemas tem-se realizado, tradicionalmente, através da administração de antibióticos e/ou mediante manipulação da flora intestinal através da dieta. Contudo, nos últimos anos têm-se desenvolvido numerosas vacinas para prevenir a manifestação clínica da doença.

Actualização sobre Clostridium difficile em suínos
Em suínos, a infecção causada por C. difficile (ICD) é uma das patologias entéricas mais importantes do recém-nascido e é observada principalmente em leitões de 1-7 dias.

Estratégias de tratamento para patologias intestinais em leitões desmamados
Medicação individualizada ou por lotes? Em qualquer caso, a eleição do tratamento dependerá do teste de resistências.

Caso clínico: Intoxicação por sal após o transporte
Alguns animais apresentaram diarreias e sinais neurológicos e, na necropsia de um deles, observou-se uma enterocolite hemorrágica com edema da mucosa, esplenomegália e hemorragias no mesentério.

Utilização de produtos fitogénicos em nutrição de suínos
O efeito imunomodulador, e em particular anti-inflamatório, dos produtos fitogénicos adicionados à dieta parece desempenhar um papel crucial no combate a quadros entéricos em suínos.

Imunidade pós-desmame frente a E. coli
Para conseguir ter anticorpos adquiridos activamente preparados no momento do desmame, os leitões deveriam ser imunizados entre os 10 dias e as 2 semanas antes do desmame.

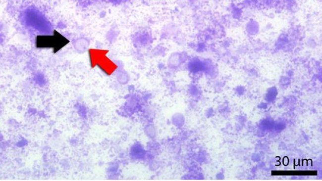
Caso clínico: Blastocystis sp.: temos que o considerar como um novo enteropatogénico?
Não se encontrou nenhum enteropatogénico numa quantidade clinicamente relevante, pelo que a massiva infestação de Blastocystis sp. foi considerada significativa neste caso.
Um resumo semanal das novidades da 3tres3.com.pt
faz login e inscreve-te na lista