
Novas variantes de PCV2: As vacinas actuais funcionam contra a elas?
A possível falta de protecção cruzada das vacinas comerciais frente a mPCV2 é agora uma das principais preocupações.
Notícias, eventos e reportagens da actualidade do sector suinícola
Os eventos relacionados com o sector suinícola existem a nível mundial
Fórum de discussão sobre temas dos suínos
Um resumo semanal das novidades da 3tres3.com.pt
Um boletim periódico de notícias sobre o mundo suinícola
A saúde dos suínos: notícias e artigos sobre PRRS, PCV2, biossegurança, etc., guia de doenças do porco, atlas de patologia, casos clínicos...
Como realizar uma necrópsia num porco, passo a passo, numa forma muito visual e prática.
Toda a informação sobre a Peste Suína Africana (PSA) na 3tres3,com.pt e em links externos
Descrição das doenças e afecções mais importantes nos suínos
Descrição fotográfica das lesões mais significativas dos suínos
Ferramenta para diagnosticar doenças nos suínos
Calcula a quantidade de medicamento a incorporar na água quando usamos um dosificador de fluxo
Um resumo semanal das novidades da 3tres3.com.pt
Preços do porco por países. Produção e comércio de carne de porco. Notícias do mercado do porco e das matérias-primas
As últimas cotações e a evolução histórica dos mercados mais importantes do suíno
Calcula o teu custo de produção, compara-o com o custo de referência e avalia como cada parâmetro afecta o custo de produção total e a margem
Dados e tendências do efectivo, produção e comércio de carne.
Dados de produção e comércio mundial das principais matérias-primas
Um resumo semanal das novidades da 3tres3.com.pt
Artigos sobre nutrição e alimentação de suínos, características das matérias primas e dos aditivos para suínos e preços das matérias-primas
Fichas técnicas das principais matérias-primas e aditivos. Incluem informação de valores nutricionais, produção e comércio, estudos recentes,...
Dados de produção e comércio mundial das principais matérias-primas
Utilize esta ferramenta para diagnosticar problemas com o Índice de Conversão. Clique no diagrama de fluxo ou nos botões dentro do texto para navegar pelas diferentes partes da ferramenta.
Um resumo semanal das novidades da 3tres3.com.pt
Um boletim mensal de notícias sobre a nutrição dos suínos
Artigos sobre genética e reprodução nos suínos: selecção genética, genómica, inseminação artificial, uso de hormonas...
Compare dados produtivos, calcule os lugares de porcas, transição e engorda e visualize as tarefas no calendário consoante cada tipo de MEB.
Calcula a entrada de porcas ao iniciar uma exploração, para aumentar o seu efectivo ou para calcular a reposição de uma exploração em funcionamento
Um resumo semanal das novidades da 3tres3.com.pt
Maneio e gestão das suiniculturas e organização do trabalho em cada uma das fases de produção: maneio na gestação, engorda, maneio em bandas...
Compare dados produtivos, calcule os lugares de porcas, transição e engorda e visualize as tarefas no calendário consoante cada tipo de MEB.
Calcula o teu custo de produção, compara-o com o custo de referência e avalia como cada parâmetro afecta o custo de produção total e a margem
Um resumo semanal das novidades da 3tres3.com.pt
Desenho de instalações e equipamentos para suiniculturas: desenho de pavilhões, climatização, sistemas de alimentação, etc. Comparadores de equipamiento.
Que equipamento necessito para a minha exploração? Apresentamos-te diferentes equipamentos para que possas escolher.
Calculadora da pegada ambiental ao longo da cadeia de valor dos suínos
Um resumo semanal das novidades da 3tres3.com.pt

A possível falta de protecção cruzada das vacinas comerciais frente a mPCV2 é agora uma das principais preocupações.

Numa exploração recém estabelecida observa-se febre, anorexia e uma fertilidade inferior à esperada nas nulíparas dos dois primeiros lotes entrados.

Observou-se que a reduzir a mistura de leitões na lactação e nas baterias atrasava o processo infeccioso, reduzindo o número de infecções precoces. O agrupar os leitões por ninhada em pequenas unidades após o desmame também diminui significativamente a probabilidade de uma infecção precoce.

A prevalência da pleurite é surpreendentemente alta em porcos no matadouro. Um estudo recente de revisão encontrou dados desde 12,5% no Reino Unido, 26% em Espanha e até 41% em porcos individuais num estudo norueguês.

O que aumenta mais a rentabilidade de uma exploração não é a minimização dos custos mas sim a maximização dos lucros.

Pese a evidente utilidade do diagnóstico laboratorial, não há que esquecer que uma necropsia de campo faz-nos ter a noção do que pode ter produzido a morte ao animal.

A vacinação das marrãs contra a PCV2 antes da IA mostrou uma clara redução da carga viral bem como uma excreção viral muito menor, que era compatível com a protecção fetal.

Vendo que PCV2 possui uma alta resistência ambiental e altas capacidades de transmissão, não é surpreendente que tenha uma distribuição ubíqua.

Actualmente ainda poderão haver algumas dúvidas sobre os efetos benéficos da vacina contra o PCV2, tanto no aspecto clínico como económico nas infecções subclínicas de leitões, mas… qual é o papel da porca? é possível que a vacinação possa ter efeitos positivos na infecção subclínica das porcas?

Este modelo económico foi criado como ferramenta usada para calcular a gravidade da PMWS na exploração, o custo da doença e avaliar qual seria a medida de controlo mais rentável.

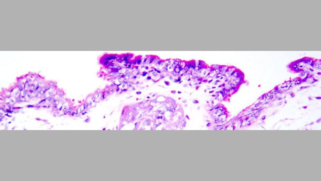
O PCV2 pode alcançar os embriões/fetos atravessando a placenta durante a virémia ou através da inseminação com sémen contaminado.

A eficácia das vacinas contra o PCV2 reduziu-se de forma drástica por efeito de algumas práticas de maneio como seja o excesso de adopções, misturas de leitões após o desmame ou alojar leitões em grupos grandes.
Um resumo semanal das novidades da 3tres3.com.pt
faz login e inscreve-te na lista